Six huge stones were found in a man's bladder: the weight and size are shocking (4 photos)
A 40-year-old resident of Turkey contacted doctors about problems with a catheter and urination, after which he was sent for an examination. It was then that doctors made a shocking discovery in the man's bladder.
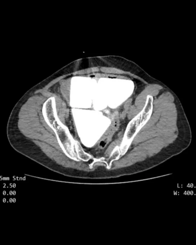
Journalists write that a 40-year-old man in Turkey contacted doctors because of problems with a catheter. He explained that in childhood he had an operation to enlarge his bladder and a catheterization stoma.
The man was sent for diagnostics to check the cause of his complaints. Despite the fact that he had no symptoms of pain, fever or infection, doctors performed an ultrasound examination (ultrasound) and what they saw on the images shocked specialists.
It turned out that the man's bladder contained giant stones in equal geometric proportions. Of the six stones, one was cube-shaped, and five were in the shape of an equilateral pyramid.
The man was immediately hospitalized, and then underwent a successful operation. During the intervention, surgeons discovered that the length of the side of the cubic stone was 7 cm on all sides, and the edges of the pyramid were 6 cm long, and the total mass of the stone was more than 2 kg.
Journalists write that later this case was written about in specialized medical journals in Turkey, which showed the stones found in the man's bladder. After the surgery, the man stayed in the medical facility for 10 days, a follow-up examination did not reveal the formation of new stones in the bladder. ![]()












