300 kidney stones removed from a sweet drink lover (3 photos)
And what’s most interesting is that the 20-year-old girl did not drink soda, but preferred juices and ready-made sweet teas from kiosks. 
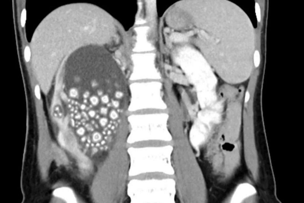
Taiwanese woman Xiao Yu, 20, was rushed to Chi Mei Hospital last week. Complaints include lower back pain and high fever.
After a young patient was x-rayed, it was discovered that one of her kidneys was completely filled with hundreds of tiny kidney stones. Well, Xiao herself said that she did not abuse soda, drank only sweet drinks and juices and did not drink water at all, believing that there was already enough fluid in her body. 
But this led to chronic dehydration and mineral accumulation in her kidneys.
Doctors managed to save her kidney by removing more than 300 mineral formations ranging in size from 0.5 cm to 2 cm in diameter. 
Chi Mei Hospital urologist Lin Tsai-yang noted that with a complete refusal of water, the body simply cannot adequately absorb incoming substances such as sugar, salt and calcium. So, friends, don't forget to drink water.










