Рут Миньон – Леди-пингвин (5 фото)
Задолго до появления пугающего персонажа комиксов и фильмов жил настоящий человек, которого народная молва назвала пингвином. 
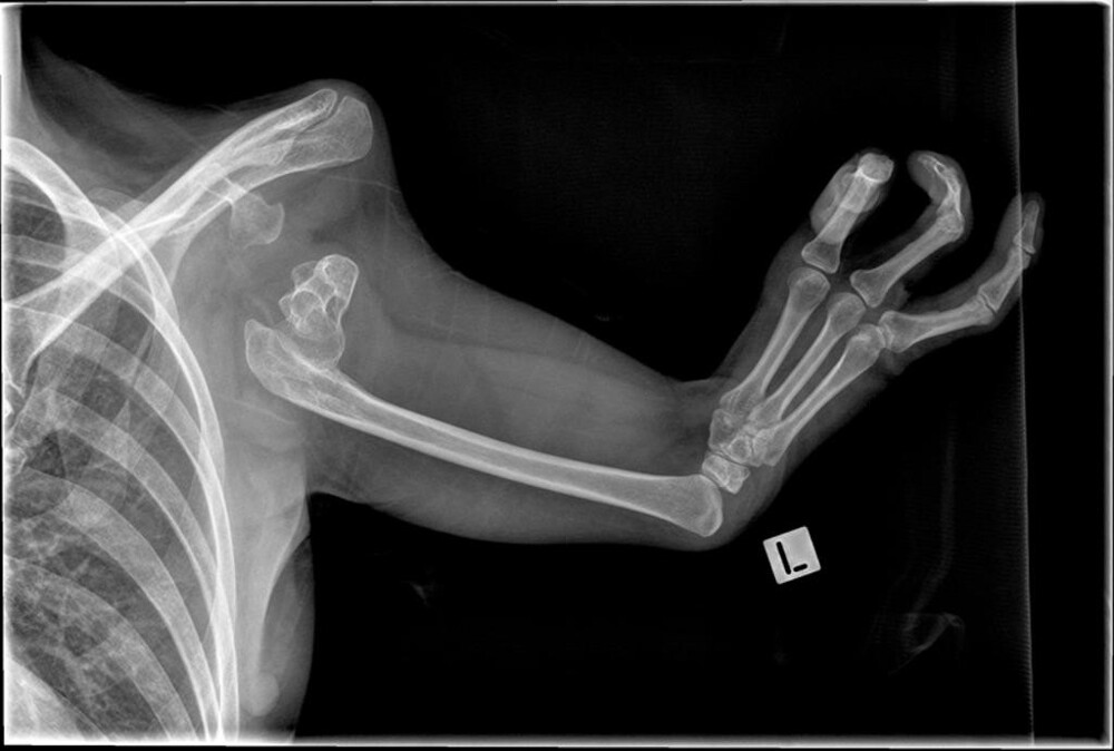
Миньон родилась в начале 1900-х годов. Вероятно, это произошло около 1910 года. Ребёнок с рождения страдал фокомелией. Фокомелия представляет собой отсутствие конечности с продолжающимся дистальным рудиментарным развитием кисти или стопы. В случае с Миньон её пальцы были сросшимися таким образом, что походили на ласты. 
Рентген верхних конечностей пациента с фокомелией
Поскольку усеченные и деформированные конечности заставляли Миньон не ходить, а ковылять, её сценический псевдоним «Леди-пингвин» был очень подходящим и моментально прижился.
Имя Миньон – не настоящее. Предположительно девушку звали Рут. «Миньон» в переводе с французского значит «милашка». Некоторое время на афише цирка уродов, где работала девушка, значилось имя Микки Миньон. 
Хотя Миньон часто надевала купальник из двух частей, чтобы продемонстрировать свое уникальное телосложение, она не полагалась исключительно на внешность. 
Маримба
Артистка научилась играть на довольно экзотической маримбе – африканском инструменте, похожем на ксилофон. Девушка оказалась очень талантливой, так как не только участвовала в многочисленных шоу, но и выступала на выставке «Век прогресса» в Чикаго в 1933 году, а также на ярмарках в Нью-Йорке в 1939 и 1940 годах. 
С сыном Тони
Миньон дважды выходила замуж. От первого мужа – обычного мужчины по фамилии ЛаАрго, она родила абсолютно здорового мальчика. В 1950-х годах она вышла замуж второй раз за своего коллегу по шоу Эрла Дэвиса – бывшего акробата с инвалидностью, сценический псевдоним которого был «лягушатник Хоппи». Пара выступала дуэтом почти десять лет.
После ухода на пенсию в 1960 году Миньон исчезла из поля зрения публики, и последние главы истории жизни Леди-пингвин остались неизвестными.


















