Индианка с 38 зубами попала в Книгу рекордов Гиннесса (4 фото)
26-летняя жительница Индии Калпана Балан официально стала женщиной с самым большим количеством зубов в мире. 

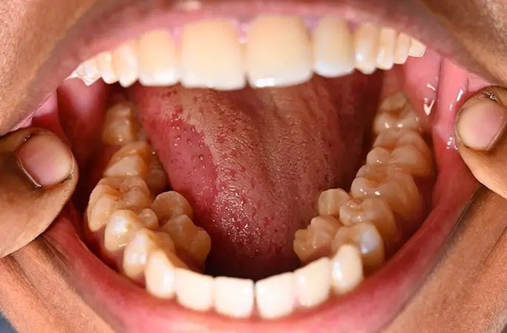
Индианка Калпана Балан прославилась благодаря тому, что у неё во рту куда больше зубов, чем положено.
У 26-летней женщины растут 4 дополнительных зуба на нижней челюсти и 2 дополнительных зуба на верхней челюсти. 
То есть нетрудно подсчитать, что всего во рту у Калпаны имеется 38 зубов, что позволило ей попасть в Книгу рекордов Гиннесса.
Женщина рассказала, что лишние зубы не причиняют ей никакой боли, но иногда становятся причиной неудобств, ведь между ними застревает пища. 
Дополнительные зубы Калпана заметила ещё в подростковом возрасте, и шокированные родители велели дочери удалить их. Однако, стоматолог отказался браться за тогда ещё слишком маленькие зубы и велел пациентке подождать. Вот только чуть позже Калпана попросту побоялась идти к доктору на удаление и теперь не жалеет об этом. Дама называет установленный мировой рекорд главным достижением своей жизни. 


















