Бережіть коліна: чим небезпечні кросівки Kangoo Jumps (6 фото + 1 відео)
Тренування з Kangoo Jumps стрімко набирають популярності, але наскільки вони є безпечними? Оскільки спорт відносно новий, у лікарів поки не було можливості оцінити довгострокові наслідки для здоров'я, однак висновки, які їм уже вдалося зробити, насторожують результатам МРТ-дослідження, опублікованого в японському медичному журналі, майже у 90% спортсменів вже спостерігаються аномалії колінних суглобів.
Якщо ви представник здорового способу життя, захоплюєтеся фітнесом, ну так чи просто недавно проходили повз спортзал з великими вікнами, то напевно бачили ці диво-кросівки, які дозволяють скакати подібно кенгуру - звідси й назва. Тренування з Kangoo Jumps дійсно виглядають задерикувато, незвичайно і весело, але скептики насторожаться. наскільки безпечний для колін спорт, який має на увазі таке кількість стрибків?
Відповідають автори дослідження, опублікованого у 2020 році у міжнародному журналі Magnetic Resonance in Medical Sciences (Магнітний резонанс у медичних науках). Автори кілька разів наголошують, що Для виявлення довгострокових наслідків для здоров'я необхідні подальші спостереження, але деякі висновки можна зробити вже зараз — і вони не надто втішні.
Ще у своєму вступі дослідники зазначають, що взуття, використовується в кенгуру-джампінгу, спочатку була розроблена для зниження навантаження на суглоби бігунів, оскільки при бігу підтюпцем їх збалансована система захисту знижує силу удару об землю до 80%. А от інтенсивний біг чи стрибки у кросівках Kangoo Jumps, навпаки, можуть призвести до болю та травм опорно-рухового апарату — а адже саме танці та інтенсивні фітнес тренування найбільш популярні зараз у кенгу-джамперів.
Дослідники оглянули 18 спортсменів, які займаються кенгу-джампінгом, і зробили 36 МРТ-знімків за допомогою 3-теслівого МРТ - по одному знімку кожне коліно. У всіх учасників дослідження були відсутні будь-які симптоми, пов'язані з колінами; також для участі у дослідженні спортсмени мали не менше півроку займатися кенгу-джампінгом щонайменше тричі на тиждень по годині на день.
Метою дослідників було порівняти результати з аналогічними знімками контрольної групи, що складалася з 20 добровольців того ж віку, статі та ваги, але не займаються активними видами спорту на регулярній основі. Два ортопеди та один рентгенолог незалежно один від друга оцінили всі зображення на наявність чи відсутність будь-яких аномалій.
У 32 (88,9%) з 36 колін кенгу-джамперів спостерігалися одна або кілька аномалій — зокрема найчастішою патологією був набряк кісткового мозку, який МРТ виявила у 32 колінних суглобах (88,9%). Також часто зустрічалася тендинопатія чотириголового м'яза (80,6%), тендинопатія надколінка (63,9%), тендинопатія литкового м'яза (63,9%), набряк інфрапателярної жирової тканини (75%), набряк супрапателярної жирової тканини (63,9%), зміна сигналу меніска (72,2%) та пошкодження хрящів у пателофеморальному суглобі (72,2%).
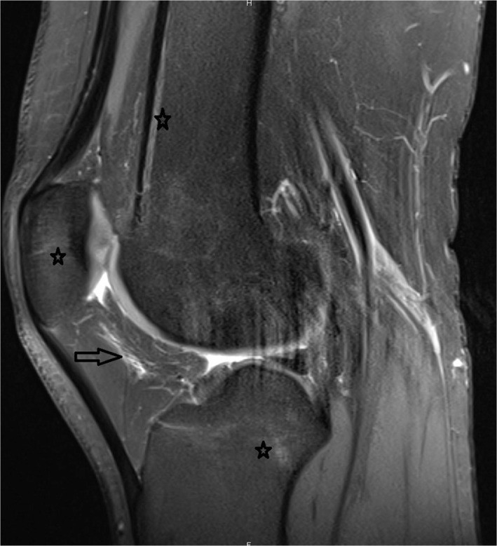
Приклад: знімок коліна 27-річної жінки без симптомів, що займається кенгу-джампінгом. Проксимальна зірочка показує поздовжній набряк кісткового мозку (BME) стегна, середня зірочка показує BME надколінка, дистальна зірочка показує BME тибіофеморального суглоба. Стрілкою показаний набряк підколінникової жирової тканини. Тендинопатія надколінка та чотириголового м'яза проявляється як зміна сигналу у місці їх прикріплення.
Найбільш важливим результатом, який дослідники спостерігали на МРТ-знімки колін кенгу-джамперів, був набряк кісткового мозку (BME). Більшість травматичних BME коліна корелюють з механізмом ушкодження коліна. Також дослідники відзначили вплив повторюваних стрибків на передню частину стегнової кістки та сухожилля розгиначів, зокрема, при приземленні. Як реакції на цю напругу розвиваються набряки, мікротріщини та мікророзриви — якщо останні гояться неправильно, це призводить до дегенерації сухожиль. Серед спортсменів які займаються іншими видами спорту, подібні ушкодження найчастіше спостерігаються у баскетболістів.
Підсумовуючи, дослідники наголосили на необхідності довгострокових подальших досліджень краще зрозуміти значення цих результатів. Проте вже можна говорити про ймовірність гострих травм коліна тарозвитку хронічних проблем із суглобами, таких як остеоартрит. 









