Брейкдансер, который постоянно крутился на голове, заработал себе лысину и нарост на черепе (2 фото)
Брейкдансер танцевал на голове примерно от двух до семи минут пять раз в неделю. Со временем он заметил шишку, а за последние 5 лет она выросла в размерах и начала болеть.
У 30-летнего брейкдансера, который около 19 лет занимался этим видом танца и любил крутиться на макушке, появились проблемы. Он заработал себе нарост на голове и потерял на этом месте волосы.
Как отмечает издание, по утверждению медиков, вращение на голове во время тренировки по брейкдансу может вызвать появление безволосых шишек. Эти неэстетичные выпуклости, также известные среди танцоров брейкданса как "шпильки" и могут время от времени болеть.
Так, в недавно задокументированном случае 30-летний пациент, который в течение последних 19 лет включал вращение на голове как часть своей тренировки по брейк-дансу, сообщил, что делал это упражнение примерно от двух до семи минут примерно пять раз в неделю. Недавно он заметил шишку, но сказал врачам, что за последние пять лет она стала больше и чувствительной на ощупь.
"Наличие поражения и связанный с ним дискомфорт вызывали эстетический дискомфорт у пациента, но выпуклость не мешала пациенту продолжать свою сногсшибательную деятельность", — отметили врачи мужчины.
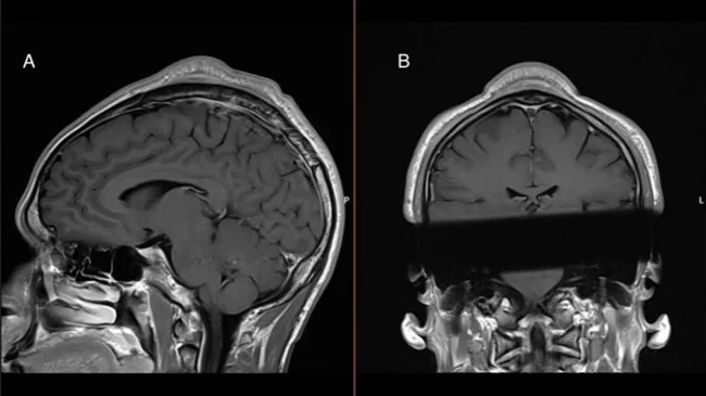
Медики исследовали выпуклость и провели структурное сканирование черепа и установили, что между кожей и черепом была зажата мягкая масса, а также то, что кожа над опухолью и кость под ней были значительно толще, чем ткани, окружающие череп.
Они решили удалить образование хирургическим путем, а также побрить кожу головы мужчины до уровня тканей вокруг нее.
Этот случай не единичный и такие проблемы имеют немало брейкдансеров. В медицине его называют "синдромом чрезмерного использования брейкданса". В свое время в Германии проводили исследование, которое показало, что из 100 опрошенных брейкдансистов у 31% выпали волосы, у 24% появились безболезненные шишки на голове, а у 37 из них было воспаление кожи головы.
Специалисты пришли к выводу, что кручение на голове более трех раз в неделю, даже в течение всего нескольких минут, сопровождается высоким риском потери волос по сравнению с более редким практикованием движений.


















