Странности и аномалии человеческого тела, от которых просто глаза лезут на лоб (24 фото)
Некоторые вещи в этом списке выглядят настолько удивительными, что в них не верится. Неужели такое действительно бывает? Что ж, человеческий организм штука непростая, и генетические аномалии никто не отменял! 
1. Начнем с нормальных вещей. Так выглядят черепа людей, у которых еще есть молочные зубы 
2. Вот как выглядят корни зуба мудрости 
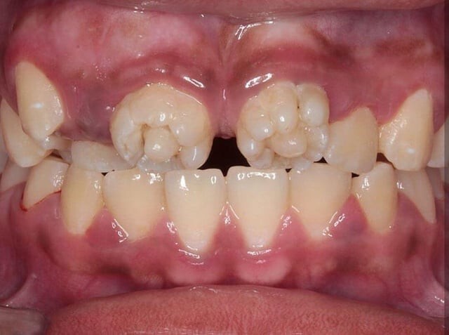
3. А вот как выглядят «тутовые коренные зубы» (зубы Пфлюгера; рудиментарные эмалевые бугорки в виде шелковицы на первых молярах; аномалия, связанная с врожденным сифилисом) 
5. Персистирующая зрачковая мембрана (ПЗМ), врождённая аномалия развития ткани радужки 
6. А вот как выглядит иридодиализ, травма радужной оболочки, возникающая на фоне тупого удара в область глазницы 
7. Если вы когда-нибудь задумывались, как будет выглядеть человек с хвостом — вот ребенок, который на самом деле родился с таким хвостом 
8. Существует состояние, называемое дермографизмом, при котором, если вы поцарапаете кожу или даже просто надавите, у вас возникнет аллергическая реакция. Это означает, что вы можете писать или рисовать на своей коже 
9. Возможно, вы слышали о полидактах, особенно о кошках, у которых есть один или два дополнительных пальца на лапе (или пальце). У людей полидактилия тоже встречается 
10. Существует также синдром зеркальной руки, когда у человека две кисти (без больших пальцев) вместо одной. Научное название этой врожденной аномалии — ульнарная димелия 
11. А еще существует отклонение, при котором у большого пальца три фаланги вместо двух, из-за чего он становится намного длиннее обычного 
12. Многие люди сталкиваются с феноменом Рейно, при котором кровоток ограничен и плохо достигает конечностей. Это может привести к тому, что пальцы станут совершенно другого цвета 
13. Нет, это не глаз высококачественного робота-гуманоида. Так выглядят глаза после операции по замене больной роговицы на искусственную 
14. А вот как будут выглядеть электрические ожоги на глазах — по сути, те самые «звездочки в глазах» 
15. Нам больше не приходится иметь дело с чумой, но этот парень, который заразился бубонной, легочной и септической чумой, может дать вам хорошее представление о том, на что это было когда-то похоже 
16. Вот как выглядит тератома — опухоль, из которой могут вырасти зубы, глаза, волосы и т. д. 
Эти опухоли могут быть злокачественными или доброкачественными. Считается, что они обладают способностью выращивать такие вещи, как зубы, потому что они состоят из зародышевых клеток, которые могут образовывать различные типы тканей. Из-за проблем с дифференцировкой клеток они все еще способны превращаться в разные типы клеток спустя годы или даже десятилетия после развития плода.
17. Ещё одна тератома — с волосами 
18. Сейчас будет совсем неприятно. Оказывается, волосы могут вырасти из глаза! 
Если объяснить это с точки зрения непрофессионала, у пациента была доброкачественная опухоль глаза, содержащая волосяные фолликулы. Похоже на случай с тератомой.
19. Вот как выглядит паразитический близнец 
Это редкая аномалия (и тип тератомы), при которой один из близнецов продолжает нормально развиваться, а другой перестает развиваться, и часть его тела остается в теле первого близнеца. Обычно лишние части удаляют гораздо ближе к рождению жизнеспособного ребенка, но вот как это выглядит у ребенка постарше.
20. Вот как выглядит врожденная анонихия — когда у человека нет ногтей 
21. А иногда бывает и по два ногтя на одном большом пальце... 
22. Немного жутковато, но именно так выглядят все кровеносные сосуды в нашем организме, если убрать все остальное 
23. А так выглядят нервы, связанные с зубами 
25. И, наконец, вот какой огромной может стать киста яичника. Страшное дело! 


















