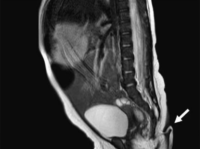
В Мексике девочка родилась с шестисантиметровым хвостом (2 фото)
Врачи смогли удалить аномалию, но были в шоке, потому что это первый подобный случай в стране. Сообщается, что в хвосте были не только мягкие ткани, но и артерии, вены, а также пучки нервов. С самой малышкой все хорошо - она доношена, а беременность прошла без осложнений. Говорят, что такой отросток может возникнуть из-за опухоли. 



















